SAMRIDH Healthcare Blended Financing Facility commits $350,000 to Qure.ai to scale AI-enabled chest X-ray screening software

Prashant Warier, CEO and Founder of Qure.ai said in a statement that the remote parts of the country struggle for resources to deal with highly transmissible infectious diseases like Tuberculosis and COVID-19.

chest x ray, health care, tuberculosis, diagnostic news,
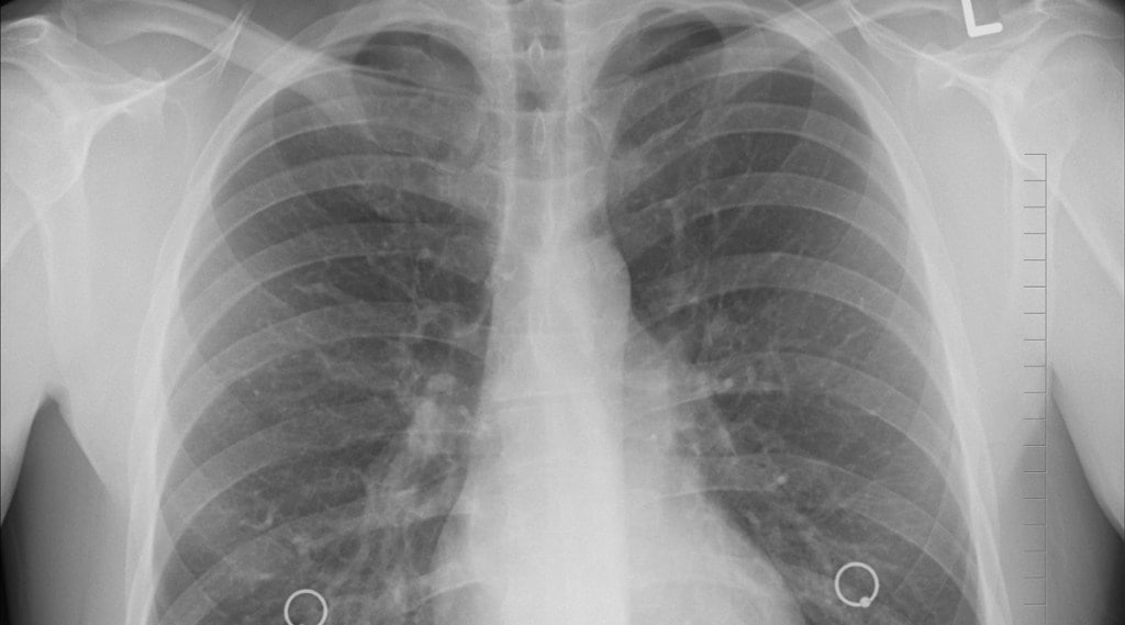
Qure.ai, a health-tech firm, builds AI-powered solutions focusing on pulmonary and neurocritical care to deliver better care for patients. The software known as qXR software can detect 30 critical lung abnormalities in under a minute. (Image Credit: Pixabay)

The SAMRIDH Healthcare Blended Financing Facility on Wednesday announced that it has committed 2.45 Crore INR ($350,000 USD) to Qure.ai to scale Artificial Intelligence (AI)-enabled chest X-ray screening software, qXR, in 50 sites across more than 15 states in India. According to the USAID-supported facility, the software will help healthcare workers in the dual screening of COVID-19 and lung diseases such as Tuberculosis, in remote parts of the country. The company claims that it will benefit an estimated 62,500 people in the next 12-14 months.

Qure.ai, a health-tech firm, builds AI-powered solutions focusing on pulmonary and neurocritical care to deliver better care for patients. The software known as qXR software can detect 30 critical lung abnormalities in under a minute. It can also quantify the infection, giving doctors and other healthcare workers real-time insights into disease progression, the company claims.

SAMRIDH Blended Finance Facility with other partners including Qure.ai is planning to advance its mission to scale market-based solutions and build sustainable and resilient healthcare systems for India, the company said in a press statement.

“We welcome the opportunity to support Qure.ai in expanding its AI-led solution to detect COVID-19 and lung diseases among the patients,” Himanshu Sikka, Project Director of SAMRIDH said in a statement.

According to Sikka, with this collaboration, they can reinforce their commitment to drive the greater investments in market solutions that combine technology and innovation to improve access to quality and affordable healthcare services for vulnerable populations.

Prashant Warier, CEO and Founder of Qure.ai said in a statement that the remote parts of the country struggle for resources to deal with highly transmissible infectious diseases like Tuberculosis and COVID-19.

“Our AI solution will significantly improve diagnosis, treatment, and patient health. I believe it can pave the way for the deployment of advanced healthcare solutions in more public health settings,” Warier said in a statement.

Get live Share Market updates, Stock Market Quotes, and the latest India News and business news on Financial Express. Download the Financial Express App for the latest finance news.

This article was first uploaded on April twenty-one, twenty twenty-two, at twenty minutes past eight in the night.