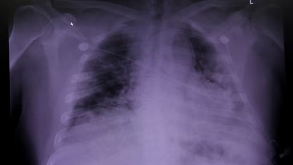
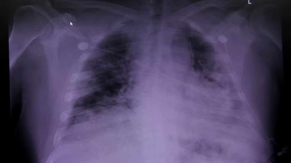
Idiopathic Pulmonary Fibrosis Causes, Symptoms, Treatment: Tabla virtuoso Zakir Hussain has passed away in San Francisco at the age of 73 due to idiopathic pulmonary fibrosis (IPF), a chronic lung disease. His death has brought attention to this rare and serious condition, which causes progressive scarring of lung tissue, making it difficult to breathe. IPF often has no known cause, which is why it is called “idiopathic.” The illness is difficult to diagnose and typically worsens over time. Hussain’s passing has sparked increased awareness and curiosity about IPF and its impact on those affected by it. Here’s all you need to know about this condition:
What is idiopathic pulmonary fibrosis?
According to the US National Heart, Lung, and Blood Institute (NIH), idiopathic pulmonary fibrosis (IPF) is a severe chronic lung disease that affects the tissue surrounding the air sacs, or alveoli, in the lungs. The condition occurs when the lung tissue becomes thick and stiff for unknown reasons. Over time, this leads to permanent scarring, known as fibrosis, which progressively impairs the patient’s breathing. Individuals with a history of smoking or a family history of IPF are at higher risk. The risk also increases with age, making older adults more susceptible to developing the disease.
Causes behind IPF
The scarring in the lungs happens because of a cycle of damage and healing. When the healing process stops, scar tissue forms. However, the exact cause of this is unknown, according to the NIH.
The scarring makes it harder to breathe and for oxygen to move from the lungs to the rest of the body. In healthy lungs, oxygen easily passes through the walls of the air sacs into tiny blood vessels and into the bloodstream. But in IPF, the walls of the air sacs get thicker, making it difficult for oxygen to pass into the blood.
Symptoms and Treatment for idiopathic pulmonary fibrosis
People with idiopathic pulmonary fibrosis (IPF) may experience several symptoms, including:
- Shortness of breath: Initially, breathing may be difficult during physical activity, but over time, it can worsen, making it hard to breathe even when resting.
- Persistent dry cough: A dry cough that doesn’t improve and may become uncontrollable can be a sign of IPF. Like breathing problems, coughing tends to get worse over time.
- Joint and muscle pain: Aching joints and muscles, although common, can also be a symptom of IPF.
- Fatigue: Feeling tired or weak is a common symptom of many illnesses, including IPF.
- Unexplained weight loss: People with IPF may lose weight slowly without trying.
If you experience these symptoms, it’s important to consult a doctor.
As for treatment, there is no cure for IPF, but some treatments can help slow lung damage and improve quality of life. Medications like Nintedanib or Pirfenidone can help the lungs function better and reduce flare-ups. Oxygen therapy can improve breathing and exercise capacity, while ventilator support may be needed for severe cases. For some, a lung transplant might be an option, though it carries risks such as infection or organ rejection. Lifestyle changes, including quitting smoking, eating a healthy diet, and exercising regularly, can also improve health. Counseling may help manage stress and anxiety.
